Versiegelungen

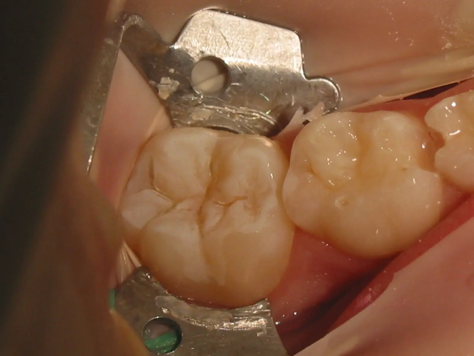
Tiefe Einziehungen auf der Kaufläche der Backenzähne (Fissuren) oder Grübchen und Furchen sind häufig kariesgefährdet, weil die Borsten der Zahnbürste diese engen Ritzen gar nicht erreichen können.

Wir beraten Sie individuell darüber, ob eine Versiegelung bei ihrem Kind sinnvoll ist. Dabei werden die Zähne gründlich gereinigt, eventuelle Verfärbungen mit einem kleinen Schleifkörper entfernt und mittels Säure-Ätztechnik mit einem dünnflüssigen Kunststoff aufgefüllt.

Wichtig dabei sind die vollständige Reinigung der Fissuren und die gute Trockenlegung! Versiegelungen sollten engmaschig kontrolliert werden (je nach Kariesrisiko 2-4 mal pro Jahr), bei Teilverlusten kann die Versiegelung ergänzt und repariert werden.